This is not medical advice or a solution to beat cancer. This is simply our story of my 73 year old mom beating stage 4 lung cancer (melanoma) in three months. If you find this blog helpful and/or have success stories, I would love to hear them and send me a note using the form below. I may even add them to the page here.
When we started this journey, it felt like we were drinking from a fire hose. We were seeking information and stories from the internet, social media, and advice/stories from many friends about holistic and natural ways to help with cancer. It was information overload. We were overwhelmed with what exactly to do and what not to do. We simply wanted somebody to layout a plan for us. We never found that 'plan' and this is a big reason why I decided to create this blog. If you're in this stage, the next section is for you and cuts right to the point. I later go into detail about how we got here.
To level set, I certainly am not a doctor and by no means claim this method beats cancer. My mom contributes the success of her cancer to many things including: faith in the Lord and many prayers, immunotherapy, diet, and exercise. I will go into each of these in more detail.
Below is the "diet" that my mom followed in addition to eating cleaner. I highly recommend doing your own research along with information from your doctor.
The above diet was strictly followed until the scan came back (3 months) as showing no signs of tumors and "no active disease". We are currently in maintenance mode and at this time have reduced the apricot seeds, juice, and mushrooms by half. She is still doing the 4 scoops of IP6.
My mom had three immunotherapy (KEYTRUDA) treatments. Even though her Dr. stated there were no active signs of cancer, we are still continuing her treatments to allow her body to become more immune. She exercised almost daily which mainly consisted of walking roughly 2 miles per day. She also prayed consistently and had many friends and family members praying for her. Always believing that the healing was in God‘s hands.
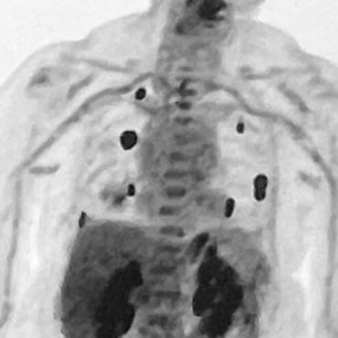
Images from her scans are below. Had her scans came back with little to no improvement, I was prepared to begin in-depth research on ivermectin and fenbendazole. Researching these along with the above items on X shows interesting results.
Update Jan 2025 - All scans and tests continue to show no signs of cancer. Immunotherapy treatments have been reduced to once every 6 weeks.
The details of our journey and how we got here.
In the spring of 2022, my mom had a brief stint with skin cancer (melanoma). I remember seeing some things on Twitter (a.k.a. X) about how cancer can be cured but never read anything about it until it hit my mom. I did a bit of research and came across the book 'A World Without Cancer. The Story of Vitamin B17' by Edward Griffin. To be fair, I actually bought the audio book but never listened to it as my mom had surgery to remove the cancerous spot. However, it triggered enough in me to do some research and I have been putting apricot seeds (roughly 5) in my daily smoothie since spring of 2023. Other family members have since been incorporating apricot seeds in their daily diet.
A video about the book by the same author (Edward G Griffin) a World Without Cancer - The Story of Vitamin B17 by G. Edward Griffin (1974)
A quick but good read: Vitamin B Group, Biotin & B17.
Another good video on this: https://x.com/worldaltmedia/status/1766618504357183736?s=42
I shared the above info with some family members in the spring of 2024. Reluctantly, my mom chose not to pursue this further and did not take any apricot seeds at that time.
On June 13th, my parents informed us of some disturbing news that a routine chest x-ray appears that her cancer had came back and is now in her lungs. I immediately gave her some of my apricot seeds and told her to start putting them in her smoothie. At this time, I had heard of other remedies such as juicing but was not familiar with them. On June 17th, a pet scan was confirmed that the melanoma had spread to her lungs. Due to the melanoma spreading it was diagnosed as stage 4. The good news for us was that this was caught very early due to her getting scheduled chest x-rays every 6 months to monitor the melanoma from spreading.
The night of June 17th, I along with my incredible wife, spent hours researching success stories for curing cancer. Most, if not all, of my research was done on Twitter and I came across what seemed to be a common pattern of juicing, apricot seeds, IP6, and Mesima mushrooms. I bought a juicer from Walmart and picked it up along with organic fruits and veggies the next morning. I already had the apricot seeds but ordered the IP6 and mushrooms from Amazon and had them the next day. On June 18th, we were juicing and started our strict diet. I have to give a lot of credit to @NaturallyFTW on Twitter who I had been following for quite some time. I highly recommend giving her a follow. Plus, she is super cute! My wife is also a big fan of the 'Chris Beat Cancer' podcast and we were able to apply a lot of good information from this as well. I believe my mom eventually started to listen to this and even picked up some additional habits, which will be discussed later in this blog.
The initial plan was this:
We quickly began seeing oncologists. Recommendation was to start immunotherapy soon. One oncologist stated this was not curable and he could not make this go away. We did not end up going with this guy, but I sure would like to ask him how my mom's tumors disappeared in three months.
The brain scan came back negative and the MRI and pet scan showed nothing additional. All the more reason for me to truly believe that we were going to beat this.
Somewhere along the way (most likely from Chris Beat Cancer Podcast), my mom picked up adding pomegranate to her smoothies. This occurred about 2 to 3 weeks after we had her juicing and on other supplements. She still adds this to her protein smoothie and mixes in the apricot seeds. She rotates putting the apricot seeds in her smoothie or yogurt.
On Sept 17th, my mom had her second pet scan. Later that night the nurse practitioner called with very good news. She stated she was very pleased with the results and did not want my mom to come in for her fourth immunotherapy session the next day. The nurse stated she needed to get with the provider to ensure they will continue with the treatments. While this was very good news, we never saw the scan results and unfortunately were left hanging with this information.
On Oct 15th, we finally met with the oncologist. He stated there were "no active disease" and he showed us multiple images and scans and simply said we do not see anything. I asked the doctor, why the first oncologist she met with said this cannot be cured and would not go away and if these results were typical? His response was something along the lines that there is more data about immunotherapy in the last 10 years and they are seeing better success stories. However, the wording in her actual report was "showed remarkable response". We never once mentioned anything about my mom's strict diet.

We use cookies to analyze website traffic and optimize your website experience. By accepting our use of cookies, your data will be aggregated with all other user data.